Headache Intensity Is Associated With Increased White Matter Lesion Burden in CADASIL Patients

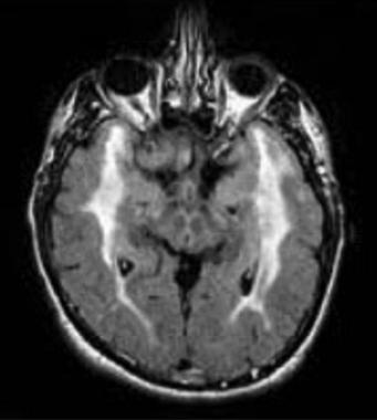
FLAIR MRI of the brain showing hyperintensities involving the temporal poles in a patient with cerebral autosomal dominant arteriopathy with subcortical infarcts and leukoencephalopathy (CADASIL). (from Mayo Clin Proc, Meschia, 2005)
Publication
J Clin Neurosci

Abstract Objectives: Cerebral autosomal dominant arteriopathy with subcortical infarcts and leukoencephalopathy (CADASIL) is the most common hereditary cause of vascular dementia in adults. Migraine is a major symptom of the disease. We aimed to identify clinical and demographical features of the headache associated with increased cerebral lesion burden in a cohort of CADASIL patients.

Methods: Thirty-two patients with CADASIL were enrolled in this cross-sectional study. Demographics data, vascular risk factors and headache characteristics were collected through a structured questionnaire. MRI (3-T) was used to determine white matter hyperintensities burden evaluated by its volume (WMH-V).

Results: Regression analysis showed that age (β = 1.266, 95%CI = [0.805, 1.726], p < 0.001), headache intensity (β = 5.143, 95%CI = [2.362, 7.924], p = 0.001) and female sex (β = 19.727, 95%CI = [8.750, 30.075], p = 0.001) were the main predictors of WMH-V.

Discussion: Age, female sex and headache intensity are associated with increased white matter lesion volume in CADASIL.

Related