Neurosonology Accuracy for Isolated Acute Vestibular Syndromes

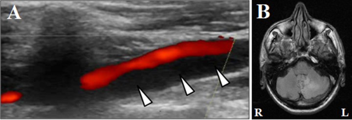
A. Cervical ultrasound of a patient with a dissection of the vertebral artery in the transition of V1 to V2 segments.
Publication
J Ultrasound Med

Abstract

Objectives: The clinical approach to acute vestibular syndromes is often complex for the physician. Neurosonology offers a noninvasive method to study the cervicocephalic circulation when a vascular etiology is suspected. We aim to evaluate the diagnostic accuracy of a vascular neurosonological exam in isolated acute vestibular syndrome.

Methods: All patients submitted to cerebrovascular ultrasound and magnetic resonance imaging during the period between 2011 and 2015 with acute isolated vestibular syndrome. Those with any clinical sign of brainstem lesion on presentation were excluded. All patients performed the neuroimaging study (brain computed tomography and magnetic resonance imaging) and neurologic surveillance. Neurosonological exam included all intra- and extracranial segments of the vertebrobasilar circulation. Positive ultrasound exam was defined as the presence of stenotic or occlusive disease in any of these segments related to the infarcted area.

Results: A total of 108 patients were included: 60 (53.6%) were males (mean age: 60.75 years (standard deviation, 14.17)). In 27 patients (25.0%) a cerebral ischemic lesion was found to be the cause of the vertigo. Neurosonological assessment showed a sensitivity of 40.7% (95% confidence interval (CI): 22.4; 61.2), specificity of 100% (95% CI: 95.5; 100.0), positive predictive value (PPV) of 100% (95% CI: 71.5; 100.0), and negative predictive value (NPV) of 83.5% (95% CI: 74.6; 90.3).

Conclusions: Our study suggests that cerebrovascular ultrasound is a highly specific method for the diagnosis of cerebrovascular vertigo. However, its low sensitivity makes it a poor candidate for screening.

Keywords: neurosonology; stroke; ultrasound; vertigo; vestibular.