Prosopagnosia as the Presenting Symptom of Whipple Disease

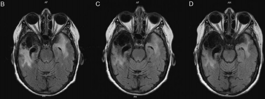
MRI of the patient.
Publication
Cogn Behav Neurol

Abstract

Whipple disease is a rare, chronic multisystem infectious disease. The central nervous system (CNS) is secondarily involved in 43% of patients; 5% of patients have isolated or primary CNS involvement. The most frequent CNS symptoms are cognitive changes. Prosopagnosia is an inability to recognize familiar faces, in a person who does not have vision impairments or cognitive alterations. This relatively rare condition is usually related to vascular, traumatic, degenerative, or infectious lesions. We report a 54-year-old woman who presented subacutely with fever, headache, and seizures that led to a diagnosis of infectious meningoencephalitis. She improved temporarily on broad-spectrum antibiotics, but then developed a chronically evolving cognitive impairment with associative prosopagnosia as the major complaint. She had a history of sporadic abdominal pain and mild sacroiliac arthralgia. After a negative duodenal biopsy, we confirmed primary CNS Whipple disease by polymerase chain reaction and brain biopsy. We treated the patient with ceftriaxone for 15 days and then co-trimoxazole for 2 years. At 8-year follow-up, she had no further impairments, but continuing prosopagnosia. To our knowledge, this is the first description of isolated prosopagnosia in a patient with primary CNS Whipple disease. Because CNS Whipple disease can lead to serious, irreversible lesions if not promptly treated, clinicians must suspect the diagnosis, treat with long-term antibiotics, and follow patients carefully to prevent recurrence.

Related